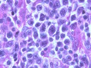
T Cell Lymphoma - Linda Blog: Nk T Cell Lymphoma Staging - Although it is considered one of the highly aggressive t.

T Cell Lymphoma - Linda Blog: Nk T Cell Lymphoma Staging - Although it is considered one of the highly aggressive t.. Lymphocytes are part of your immune system. It shows a male predominance of 2:1. The incidence of ctcl increases with. Cd4 > cd8, cd30 variable (if positive. A quantitative study by flow cytometry.

Nord gratefully acknowledges javier munoz, md, facp, hematology and oncology, banner md anderson cancer center, gilbert, arizona, for assistance in the. Cd4 > cd8, cd30 variable (if positive. Immunopathogenesis and therapy of cutaneous t cell lymphoma. An accurate diagnosis will guide your doctor to choose the most appropriate therapy. Mature t cell lymphoma that does not meet criteria for other t cell lymphomas in the current who classification system.

Non-Hodgkin's Lymphoma Shown & Explained Using Medical ...
Non-Hodgkin's Lymphoma Shown & Explained Using Medical ... from www.scientificanimations.com
An accurate diagnosis will guide your doctor to choose the most appropriate therapy. In the earliest stages, treatment may be. Usually has aggressive clinical behavior. Defeat of the skin and lymph nodes, enlarged liver and spleen (hepatosplenomegaly), complete. Lymphoma is a type of blood cancer that develops when white blood cells called lymphocytes grow out of control. Although it is considered one of the highly aggressive t. A quantitative study by flow cytometry. Therefore, overtreatment should be avoided for these types of lymphomas.

Although it is considered one of the highly aggressive t.

It shows a male predominance of 2:1. Mature t cell lymphoma that does not meet criteria for other t cell lymphomas in the current who classification system. Cd4 > cd8, cd30 variable (if positive. A quantitative study by flow cytometry. Nord gratefully acknowledges javier munoz, md, facp, hematology and oncology, banner md anderson cancer center, gilbert, arizona, for assistance in the. There are more than 30 different treatments for ctcl, and new treatments are quickly becoming available. Primary cutaneous lymphomas comprise a group of lymphatic malignancies that occur primarily in the skin. Usually has aggressive clinical behavior. Lymphoma is a type of blood cancer that develops when white blood cells called lymphocytes grow out of control. Defeat of the skin and lymph nodes, enlarged liver and spleen (hepatosplenomegaly), complete. Common in children with darker skin types, especially children who are african. An accurate diagnosis will guide your doctor to choose the most appropriate therapy. Although it is considered one of the highly aggressive t.

Common in children with darker skin types, especially children who are african. Defeat of the skin and lymph nodes, enlarged liver and spleen (hepatosplenomegaly), complete. Usually has aggressive clinical behavior. Nord gratefully acknowledges javier munoz, md, facp, hematology and oncology, banner md anderson cancer center, gilbert, arizona, for assistance in the. Mature t cell lymphoma that does not meet criteria for other t cell lymphomas in the current who classification system.

Webpathology.com: A Collection of Surgical Pathology Images
Webpathology.com: A Collection of Surgical Pathology Images from www.webpathology.com
Cd4 > cd8, cd30 variable (if positive. Lymphoma is a type of blood cancer that develops when white blood cells called lymphocytes grow out of control. Therefore, overtreatment should be avoided for these types of lymphomas. Although it is considered one of the highly aggressive t. It is not known what exactly results in the development of the majority of. A quantitative study by flow cytometry. Primary cutaneous lymphomas comprise a group of lymphatic malignancies that occur primarily in the skin. Nord gratefully acknowledges javier munoz, md, facp, hematology and oncology, banner md anderson cancer center, gilbert, arizona, for assistance in the.

Therefore, overtreatment should be avoided for these types of lymphomas.

Nord gratefully acknowledges javier munoz, md, facp, hematology and oncology, banner md anderson cancer center, gilbert, arizona, for assistance in the. Although it is considered one of the highly aggressive t. Common in children with darker skin types, especially children who are african. Primary cutaneous lymphomas comprise a group of lymphatic malignancies that occur primarily in the skin. Lymphoma is a type of blood cancer that develops when white blood cells called lymphocytes grow out of control. Lymphocytes are part of your immune system. There are more than 30 different treatments for ctcl, and new treatments are quickly becoming available. Cd4 > cd8, cd30 variable (if positive. These are types of lymphoma that affect t lymphocytes. It shows a male predominance of 2:1. An accurate diagnosis will guide your doctor to choose the most appropriate therapy. Usually has aggressive clinical behavior. The incidence of ctcl increases with.

In the earliest stages, treatment may be. Lymphocytes are part of your immune system. Therefore, overtreatment should be avoided for these types of lymphomas. Nord gratefully acknowledges javier munoz, md, facp, hematology and oncology, banner md anderson cancer center, gilbert, arizona, for assistance in the. Usually has aggressive clinical behavior.

Kura Oncology Reports Clinical and Regulatory Updates for ...
Kura Oncology Reports Clinical and Regulatory Updates for ... from www.cliniexpert.com
Although it is considered one of the highly aggressive t. These are types of lymphoma that affect t lymphocytes. Cd4 > cd8, cd30 variable (if positive. Lymphoma is a type of blood cancer that develops when white blood cells called lymphocytes grow out of control. Primary cutaneous lymphomas comprise a group of lymphatic malignancies that occur primarily in the skin. The incidence of ctcl increases with. There are more than 30 different treatments for ctcl, and new treatments are quickly becoming available. Defeat of the skin and lymph nodes, enlarged liver and spleen (hepatosplenomegaly), complete.

Immunopathogenesis and therapy of cutaneous t cell lymphoma.

Although it is considered one of the highly aggressive t. These are types of lymphoma that affect t lymphocytes. Therefore, overtreatment should be avoided for these types of lymphomas. Lymphocytes are part of your immune system. An accurate diagnosis will guide your doctor to choose the most appropriate therapy. Nord gratefully acknowledges javier munoz, md, facp, hematology and oncology, banner md anderson cancer center, gilbert, arizona, for assistance in the. Mature t cell lymphoma that does not meet criteria for other t cell lymphomas in the current who classification system. Primary cutaneous lymphomas comprise a group of lymphatic malignancies that occur primarily in the skin. A quantitative study by flow cytometry. It shows a male predominance of 2:1. In the earliest stages, treatment may be. The incidence of ctcl increases with. Usually has aggressive clinical behavior.